Implants

Dental Implants

Dental implants from Norwich's leading implantology experts

Dental implants offer a modern solution for replacing missing teeth. The tooth implant provides an artificial root that can be used to anchor replacement teeth like crowns, bridges and removable dentures. If your replacement teeth ever fail, they can be replaced quickly and painlessly - but the dental implant that holds them in place should last for life. Having dental implants may seem like a big procedure, but it is completely safe, has a very high success rate, and most patients experience no or little discomfort. Permanent and effective, dental implants enable you to eat, drink, speak and smile with real confidence.

Dental implants offer a modern solution for replacing missing teeth. The tooth implant provides an artificial root that can be used to anchor replacement teeth like crowns, bridges and removable dentures. If your replacement teeth ever fail, they can be replaced quickly and painlessly - but the dental implant that holds them in place should last for life. Having dental implants may seem like a big procedure, but it is completely safe, has a very high success rate, and most patients experience no or little discomfort. Permanent and effective, dental implants enable you to eat, drink, speak and smile with real confidence.

Video Consultation
Implants Booklet

View online

Arrow
Implants

Highly experienced implant experts

Our team are highly experienced in dental implants. Hamed Karimi, our Lead Clinician, is an implant surgeon known internationally for his expertise. All of our other clinicians have at least ten years experience in dentistry, and have taken specialist postgraduate training at some of the most prestigious medical universities in the UK and Europe. Our team of hygienists are highly trained and have gained experience with tooth implant hygiene techniques, and we recommend that you visit them regularly following your treatment to ensure its success. As one of the most experienced teams of dental implant experts in the region, dentists across Norfolk trust us with their patents, reassured by the specialist training in implant maintenance we can provide them for when their patient returns to their care.

Treatment Options

Single Tooth Implants

What is the treatment?

A single tooth implant is a straightforward procedure. Taking less time than a crown or root treatment, most patients find the procedure is pain-free, with no or minimal discomfort afterward. When your treatment is complete, you will have a replacement tooth that looks, feels and works just like one of your own – you even clean it in just the same way.

What are the alternative treatments?

The alternative treatments to a single tooth implant come with a number of disadvantages. A conventional dental bridge is attached to the teeth either side of the gap, which take on extra strain as they bear its weight – causing potential damage and reducing the lifespan of the bridge. Dentures are uncomfortable and inconvenient, become loose over time, and can damage adjacent teeth and gums.

Is it necessary to replace a missing tooth?

Replacing a missing tooth isn’t just about looks – it’s very important for your oral health. With fewer teeth to chew your food with, the stress on your remaining teeth increases, which can reduce their lifespan. The teeth either side of the gap can lean into it, changing your bite and putting you at risk of tooth decay and gum disease if food becomes packed in.

Before and After

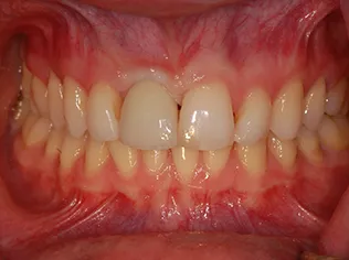
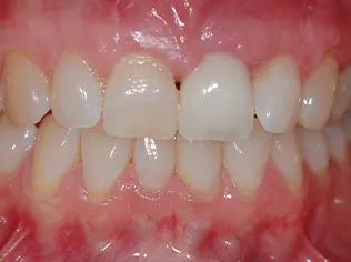
Before
Before
Slider

Case Studies

From Self-Conscious to Confident: A Single Tooth Implant Story

From Self-Conscious to Confident: A Single Tooth Implant Story

At just 21, a single front tooth was affecting her confidence—see how a single implant gave her the smile she’d been hiding.

Read more
Multiple Adjoining Teeth Implant

What is the treatment?

If you have several adjoining teeth missing or failing, it is possible to replace each missing tooth with an individual implant, each with a separate replacement tooth. However, if we join two or more replacement teeth together to form a bridge, you will need fewer dental implants. This is a more effective, more affordable solution.

What are the alternative treatments

Dental implants are a safe, effective and long-lasting treatment for replacing several adjoining teeth. Other treatments rely on support from adjacent teeth, which can then become damaged. A bridge is a permanent solution, but the supporting teeth must be cut to hold it in place and will bear an increased load. A partial denture must be removed every night, and will need to be replaced every few years as it becomes loose and uncomfortable.

Is it necessary to replace missing adjoining teeth?

When several adjacent teeth are missing or failing, they are normally molars. Molars are large, multi-rooted teeth at the back of your jaw designed to chew food. If you lose them, the single-rooted teeth at the front of your mouth have to pick up the workload, and the extra stresses will damage them. Replacing molars might not be important cosmetically, but it is important for your oral health.

Case Studies

A Fresh Start with Multiple Implants: Restoring Three Front Teeth

A Fresh Start with Multiple Implants: Restoring Three Front Teeth

After years of struggling with damaged teeth and failing crowns, this patient regained his confidence and a natural smile with dental implants.

Read more
Full Arch Implant

What is the treatment?

One of the most advanced dental procedures available, this treatment can give you a complete set of replacement teeth, in either jaw or the full mouth. Our team are among the few specialists in the region who can carry out this cutting-edge treatment, using just four dental implants in each jaw to give you a permanent set of natural-looking teeth. It’s truly life-transforming, restoring your teeth’s full function and enabling you to eat, drink, speak and smile with real confidence.

What are the alternative treatments

With a high success rate and minimal discomfort, a full arch of dental implants will last most patients for life. However, there are alternatives. A conventional removable denture is inconvenient to use and will become loose and uncomfortable over time – but we offer implant-retained dentures, a simple treatment that takes away many of these problems.

Is it necessary to replace missing adjoining teeth?

Multiple tooth loss has serious consequences for your oral health and appearance. When you lose teeth, the bone that supported them deteriorates. When many teeth are missing, the jawbone itself weakens, meaning your jaws over-close, causing functional problems with eating and speaking. As your cheeks and lips are no longer supported by teeth, they become wrinkled and appear hollow. For many people experiencing these problems, it’s a heavy blow to their confidence.

Case Studies

Full Arch Dental Implants in Norwich: Restoring Confidence for a Nervous Patient

Full Arch Dental Implants in Norwich: Restoring Confidence for a Nervous Patient

After years of avoiding the dentist due to fear, one patient regained his smile and confidence with our gentle care and dental implants. Read his full journey to see how we help nervous patients transform their oral health and self-esteem.

Read more
Implant Retained Dentures

What is the treatment?

Using dental implants to anchor removable dentures is a much more effective way of keeping your dentures in place than adhesives, pastes and powders. With just two implants or four mini implants in each jaw, your dentures simply clip on and are held securely in place, but are easy to remove for cleaning and sleeping. The implants also have a number of aesthetic benefits, helping to preserve bone in your jaw and maintain your facial structure, and restoring lost lip support to minimise wrinkles around your mouth. The procedure takes just 90 minutes – and only about 15 minutes of that is actual surgery. It’s a fast and cost-effective alternative to a full arch of dental implants.

What are the alternative treatments

Implant-retained dentures are a vast improvement on traditional removable dentures, which are inconvenient and sometimes uncomfortable to use, and limit which food you can eat. An even better alternative to removable dentures is full arch of dental implants – a procedure so advanced that we are one of the few practices in East Anglia with the experience to perform it. It’s a life-changing, lifelong solution.

Is it necessary to replace missing adjoining teeth?

Losing multiple teeth can have a dramatic impact on your quality of life. As well as seriously impacting your ability to speak and eat, it can alter your appearance. Without teeth to support your lips and cheeks, wrinkles form faster and your cheeks become hollow. Many people with this kind of tooth loss feel that they look older than they are, and this can be devastating for their confidence.

Treatment options

Single Tooth Implants

What is the treatment?

A single tooth implant is a straightforward procedure. Taking less time than a crown or root treatment, most patients find the procedure is pain-free, with no or minimal discomfort afterward. When your treatment is complete, you will have a replacement tooth that looks, feels and works just like one of your own – you even clean it in just the same way.

What are the alternative treatments?

The alternative treatments to a single tooth implant come with a number of disadvantages. A conventional dental bridge is attached to the teeth either side of the gap, which take on extra strain as they bear its weight – causing potential damage and reducing the lifespan of the bridge. Dentures are uncomfortable and inconvenient, become loose over time, and can damage adjacent teeth and gums.

Is it necessary to replace a missing tooth?

Replacing a missing tooth isn’t just about looks – it’s very important for your oral health. With fewer teeth to chew your food with, the stress on your remaining teeth increases, which can reduce their lifespan. The teeth either side of the gap can lean into it, changing your bite and putting you at risk of tooth decay and gum disease if food becomes packed in.

Before and After

Before
Before
Slider

Case Studies

From Self-Conscious to Confident: A Single Tooth Implant Story

From Self-Conscious to Confident: A Single Tooth Implant Story

At just 21, a single front tooth was affecting her confidence—see how a single implant gave her the smile she’d been hiding.

Read more
Multiple Adjoining Teeth Implant

What is the treatment?

If you have several adjoining teeth missing or failing, it is possible to replace each missing tooth with an individual implant, each with a separate replacement tooth. However, if we join two or more replacement teeth together to form a bridge, you will need fewer dental implants. This is a more effective, more affordable solution.

What are the alternative treatments

Dental implants are a safe, effective and long-lasting treatment for replacing several adjoining teeth. Other treatments rely on support from adjacent teeth, which can then become damaged. A bridge is a permanent solution, but the supporting teeth must be cut to hold it in place and will bear an increased load. A partial denture must be removed every night, and will need to be replaced every few years as it becomes loose and uncomfortable.

Is it necessary to replace missing adjoining teeth?

When several adjacent teeth are missing or failing, they are normally molars. Molars are large, multi-rooted teeth at the back of your jaw designed to chew food. If you lose them, the single-rooted teeth at the front of your mouth have to pick up the workload, and the extra stresses will damage them. Replacing molars might not be important cosmetically, but it is important for your oral health.

Case Studies

A Fresh Start with Multiple Implants: Restoring Three Front Teeth

A Fresh Start with Multiple Implants: Restoring Three Front Teeth

After years of struggling with damaged teeth and failing crowns, this patient regained his confidence and a natural smile with dental implants.

Read more
Full Arch Implant

What is the treatment?

One of the most advanced dental procedures available, this treatment can give you a complete set of replacement teeth, in either jaw or the full mouth. Our team are among the few specialists in the region who can carry out this cutting-edge treatment, using just four dental implants in each jaw to give you a permanent set of natural-looking teeth. It’s truly life-transforming, restoring your teeth’s full function and enabling you to eat, drink, speak and smile with real confidence.

What are the alternative treatments

With a high success rate and minimal discomfort, a full arch of dental implants will last most patients for life. However, there are alternatives. A conventional removable denture is inconvenient to use and will become loose and uncomfortable over time – but we offer implant-retained dentures, a simple treatment that takes away many of these problems.

Is it necessary to replace missing adjoining teeth?

Multiple tooth loss has serious consequences for your oral health and appearance. When you lose teeth, the bone that supported them deteriorates. When many teeth are missing, the jawbone itself weakens, meaning your jaws over-close, causing functional problems with eating and speaking. As your cheeks and lips are no longer supported by teeth, they become wrinkled and appear hollow. For many people experiencing these problems, it’s a heavy blow to their confidence.

Case Studies

Full Arch Dental Implants in Norwich: Restoring Confidence for a Nervous Patient

Full Arch Dental Implants in Norwich: Restoring Confidence for a Nervous Patient

After years of avoiding the dentist due to fear, one patient regained his smile and confidence with our gentle care and dental implants. Read his full journey to see how we help nervous patients transform their oral health and self-esteem.

Read more
Implant Retained Dentures

What is the treatment?

Using dental implants to anchor removable dentures is a much more effective way of keeping your dentures in place than adhesives, pastes and powders. With just two implants or four mini implants in each jaw, your dentures simply clip on and are held securely in place, but are easy to remove for cleaning and sleeping. The implants also have a number of aesthetic benefits, helping to preserve bone in your jaw and maintain your facial structure, and restoring lost lip support to minimise wrinkles around your mouth. The procedure takes just 90 minutes – and only about 15 minutes of that is actual surgery. It’s a fast and cost-effective alternative to a full arch of dental implants.

What are the alternative treatments

Implant-retained dentures are a vast improvement on traditional removable dentures, which are inconvenient and sometimes uncomfortable to use, and limit which food you can eat. An even better alternative to removable dentures is full arch of dental implants – a procedure so advanced that we are one of the few practices in East Anglia with the experience to perform it. It’s a life-changing, lifelong solution.

Is it necessary to replace missing adjoining teeth?

Losing multiple teeth can have a dramatic impact on your quality of life. As well as seriously impacting your ability to speak and eat, it can alter your appearance. Without teeth to support your lips and cheeks, wrinkles form faster and your cheeks become hollow. Many people with this kind of tooth loss feel that they look older than they are, and this can be devastating for their confidence.

Instant Implants

Our dental implant treatment usually takes several months, but recent advances in dentistry mean we can now perform instant implants quickly and safely. This treatment is not possible in every case, so we will talk through your options during your implant assessment. In many instances, we can remove a tooth and immediately replace it with an implant – and we can often attach a temporary crown at the same time. We can even replace multiple teeth at once in some circumstances. This fast and simple treatment means you will have minimal surgery and will not need to wear a denture at any stage. Contact us to find out more about instant implants.

Contact us
Nervous

Nervous about your treatment?

All of our treatments are painless, and our approachable team will always do their utmost to put you at ease – but we understand that dental treatment is something many people feel nervous about. We’re committed to making your journey with us pleasant and stress-free. Our consultant anaesthetist and several of our clinicians are specially trained in conscious sedation, a safe form of anaesthesia that will block pain and help you relax. Although you will be able to respond to instructions, you will feel drowsy and won’t remember much about the procedure afterwards. If you think conscious sedation could benefit you, talk to your clinician.

Dental implant costs

Our fee structure has been carefully considered, and reflects our high level of specialist care, advanced equipment and consistently high results. We believe in being honest about our fees, and we will always discuss and explain them clearly. After our initial assessment we will send you a letter detailing your unique treatment plan, including any likely costs. If you would like to spread the cost of your treatment, we can offer a monthly interest-free payment plan over a six-month period.

See all our treatment costs
Single Tooth Replacement £3,000 - £3,350
Replacement of Two Teeth £4,000 - £5,350
Replacement of Three Teeth £5,700 - £7,600
Replacement of Four Teeth £6,500 - £8,400
Replacement of Five Teeth £8,700 - £9,200
Full Arch Lower £14,000 - £15,300
Full Arch Upper £18,500 - £19,700
Annual Health Check £140
Single Graft/Bone Grafting Materials £1,600
Single Implant Placement £1780
Two Implant Placement £2580
Three Implant Placement £3580
Four Implant Placement £4580
Six Implant Placement £6500
Prosthodontic Assessment (includes x-rays) £255
Bite Raising Appliance £320
Adhesive Bridges £1620
Temporary Dentures from £485
Booking a consultation on a tablet

Book your Free Consultation

Your journey with us starts with a consultation.

To arrange your consultation, please call us on 01603 632525 or make an enquiry using our online form.

Book a consultation

Dental Implants FAQs

Need quick answers about Dental Implants? Browse these FAQs or visit our FAQ page for more information on all our services and any dental questions that you may have.

Read More FAQs

The cost of dental implant treatment varies depending on the complexity and number of teeth being replaced. A straight forward tooth replacement incurs a fee of £2985.

Single tooth replacement (straightforward): £2,985. This is an inclusive fee covering the pre-operative CBCT scan, the dental implant, and the final implant crown.

Two teeth replacement: With a single implant: £3,985. With two implants: £4,985 to £5,335.

Three teeth replacement: With two implants: £5,685.

Four teeth replacement: With two implants: £6,485.

In cases requiring additional implants (e.g., due to a strong bite): up to £8,485.

Full arch replacement: Complete set of lower teeth: £14,085. Complete set of upper teeth: £18,485.

Single-tooth cases can be completed in around four months. Most implant treatments take four to six months with at least four or five appointments. More complex cases involving multiple teeth may take nine to twelve months.

To ensure a smooth and efficient treatment journey with minimal waiting times, we block book all your necessary appointments once you commence treatment. This allows us to schedule your appointments within a two-to-three-week period. If you have flexibility with your availability, it is often possible to commence treatment within one to two weeks.

Accrediting bodies

Accrediting bodies